Offline
Open-source DICOM Viewer designed to keep the focus on the images themselves.
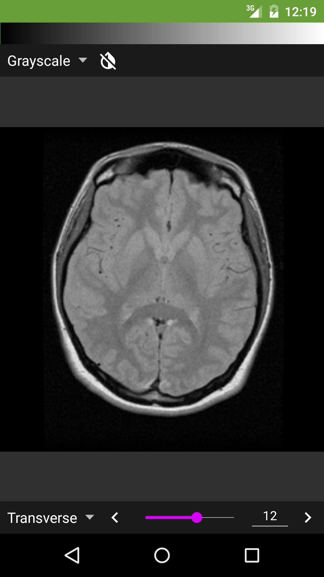
This DICOM Viewer has a minimal interface to keep the focus on the images themselves.
It should work with any uncompressed DICOM images.
Multi-touch Gesture Support:
Drag with one finger to pan/move the image.
Pinch with two fingers to zoom.
Twist with two fingers to rotate.
Scroll left/right with two fingers to adjust contrast (aka image width).
Scroll up/down with two fingers to adjust brightness (aka image level).
This app utilizes OpenCV and dcm4che libraries.
Source-code: https://github.com/cpboyd/simply-dicom
If you are bored with playing the vanilla version of Metaphor ReFantazio, you can check out these five mods.
Get free Primogems, Mora, Experience, and more with these November 2024 Genshin Impact codes, 5.1 livestream codes, and find out how to redeem active codes.
Struggling with your submissions for Roblox's The Haunt event in 2024? Check out our guide on using Dress to Impress to create your captures!
Our walkthrough for Dragon Age: The Veilguard with some handy tips and tricks, with guides for puzzles, bosses, companions, equipment, romance, and more!
Looking for some bonus resources in Sea of Conquest: Pirate War? We’ve got you covered with these codes for the latest seafaring freebies.
Which faction should you pick in Dragon Age: The Veilguard?
On our website, you can easily download the latest version of simplyDICOM Viewer! No registration and SMS required!